Squeezing in a Little Time for ML this Past Summer: John Valen’s Experience

My name is John Valen. Having recently completed my undergraduate degree in statistics and economics here at U of T, and soon moving on to pursue my Master’s in statistics in Europe, the Medical Imaging Volunteer Internship program seemed almost tailored to my goal of getting valuable research experience within a constrained time window. Over the course of only several months this summer, I’ve had the pleasant and enriching experience of contributing ideas and code to the project that summer ROP student Wenda Zhao undertook for the dentistry department at U of T, along with the guidance and contributions of ML lab leader Hershel Stark.

Wenda’s blog post (see here) neatly summarizes the goal of this project, one whose aim is to determine the likelihood that a misdiagnosis may occur, depending on the degree of damage to the dental plate being used for X-rays. Contributions I’ve helped make in particular include:

– Creating sparse matrix representations of the grey scale X-ray images themselves in order to economize on memory and run-time performance
– Hand-engineering features: once the artifacts (damage such as scratches, dents,
blotches, etc) were segmented out via DBSCAN, they were characterized by a variety of different metrics: size (pixel count), average pixel intensity (images are grey scale), location (relative to the center of the plate image), etc. 

– Training a K-Means algorithm to cluster segmented artifacts from the dental plate images based on these hand-engineered features, whereby clustering them in this unsupervised manner gave us insight on their properties;

And much more. If you are not familiar with this machine learning lingo, then do not worry; I was hardly exposed to it myself before I started working in this lab. I went in knowing close to nothing practical and a whole lot theoretical, and came out knowing quite a little more in the way of the first one. Fine, a lot more: or
so I like to think. It may not seem clear how my contributions can be used in the future to help answer the ultimate question. The truth is, nothing is really clear at the moment. The project is still on-going and I intend to keep up with it, making contributions remotely to it while I am away in Belgium pursuing my Master’s degree. This is the greatness of it all, the amount of flexibility we have in answering these questions leaves a lot of room for creativity and contemplation. 

All in all, from my own perspective (which has been greatly expanded over the course of the summer), the volunteer program was a perfect means to experience the sheer amount of work that is enthusiastically undertaken by serious students in answering these important questions. I hope that I too can now consider myself at the very least climbing to their ranks while I move on to other and more numerous serious pursuits in my life. 

Good luck to you all, and do not underestimate yourselves.


John Valen

Summer 2018 ROP: Wenda’s in the house!

Hello everyone, my name is Wenda Zhao. I’m starting my fourth year in September majoring in neuroscience and pathobiology. I did a research opportunity project (ROP) 399 course with Dr. Tyrrell this summer. And I’m here to share some of my experiences with you.
Today is a hot and humid Friday in southeast China, where I’m back home from school for the rare luxury of a short break before everything gets busy again. Summer is coming to an end, so is my time with Dr. Tyrrell and his incredible team, some of whom I have got to know, spent most of the summer working with and befriend. I have just handed in my report for the project I did over the past three months on the segmentation, characterization and superimposition of dental
X-ray artifacts.
And now, looking back, it was one of the best learning experiences I have ever had, through an enormous amount of self-teaching, practicing, troubleshooting, discussing and debating. As with all learning experiences, the process can be long and bewildering, sometimes even tedious; yet rewarding in the end.
 
It all began on a cold April morning, with me sitting nervously in Dr. Tyrrell’s
office, waiting for him to print out my ROP application and start off the interview. At that point, I just ended my one-year research at a plant lab and was clueless of what I was going to do for the following summer. Coming from a life science background, I went into this interview for a machine learning project in medical imaging knowing that I wasn’t the most competitive candidate nor the most suitable person to do the job. Although I tried presenting myself as someone who had had some experience dealing with statistics by showing Dr. Tyrrell some clumsy work I did for my previous lab, the flaws were immediately noticed by him. I then found myself facing a series of questions which I had no answers to and the interview quickly turned into what I thought to be a disaster for me. I was therefore very shocked when I received an email a week later from Dr. Tyrrell informing me that I had been accepted. I happily went onboard, but joys aside, part of me also had this big uncertainty and doubt that later followed me even to my first few weeks at the lab.
 
At the beginning, everything was new. I started off learning the software KNIME, an open-source data analytics platform that is capable of doing myriads of machine learning tasks. I had my first taste doing a classification problem, where we trained a decision tree model to identify a given X-ray to either be of a hand or a chest. It was a good introductory task to illustrate all the basic concepts in machine learning such as “training set”, “test set”, “input” and “output/label”. We ended up obtaining an accuracy of around 90% on the test set. That was the first time I witnessed the power of machine learning and I was totally amazed by it. I spent the next week or so watching more videos on the topic including state of the art algorithms such as convolutional neural network (CNN). While absorbing knowledge everyday was fun, I was at the same time a little lost about the future of my project. I began to realize that this experience is going to be very different from my past ones in wet labs, where a lot of the times you were already told what to do and all you need is to conduct the experiments and get the results. Here the amount of freedom that I have on my schedule, task and even the project itself was refreshing but at the same time terrifying. On retrospect, I considered myself lucky for that it was around that time of lost when the Faculty of Dentistry proposed a collaboration with us, which ended up being my project for the summer.
 
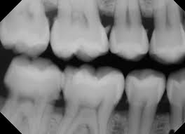
The dentistry project, as we so called, concerns a type of dental X-ray sensor called Phosphor Storage Plates (PSPs) which are very commonly used because of its easy placement in the oral cavity and the resulting minimum discomfort. The sensors, however, can accumulate damages over time, which would show up in the final image as artifacts with various appearances. Such artifacts could get in the way of diagnosis; thus, the plates need to be discarded before it’s too damaged. But how damaged is too damaged? For the moment, nobody has answers to that. Our goal is to use machine learning to learn the relationship between artifacts and whether they would affect diagnosis. Eventually, we can use that model to make predictions for a given plate and offer dentists advice as in when to discard it. The entire project is huge and the part we played in this summer mainly contributes as preparatory work. We segmented the artifacts from the image and clustered them into five groups based on 9 hand-engineered features. This characterization of the single artifacts can serve as the input for the model. We also created a library of superimposed images of artifact masks and real teeth backgrounds to mimic images taken with damaged sensors in real clinical settings. We did this so that dentists can take a look at these images and give a diagnosis. Comparing that with the true diagnosis, we can obtain the labels for whether a given artifact will affect diagnosis or not. And this will be the output of the model. The testing of these images is currently underway, and the results will be available in early September for further analysis.
 
With the project established and concrete goals ahead, the feeling of uncertainty
gradually went away. But it was never going to be easy. There were times when
we hit the bottleneck; when our attempts have failed miserably; when we had to give up on a brilliant idea because it didn’t go our ways. But
after stumbling through all the challenges and pitfalls, we found ourselves new. I was a bit lost at the beginning of this summer. But over the summer I learned
a lot about the very cool and growingly crucial field of machine learning; I grew a newfound appreciation for statistics and methodology; I picked up the programming language python, which I had been wanting to do for years and, most importantly, I did more thinking than I ever would if I were to just follow instructions blindly. And in the end, I believe that science is all about thinking. So for you guys out there reading the blog, if you’re coming to this lab from a totally different background and not entirely sure about the future, don’t be afraid. And I hope you find what you come here looking for, just like I did.
 
Finally, I want to thank the people who’s helped me along the way and who’s made the lab such an enjoyable place: Hershel, Henry, Rashmi, John and Trevor; and last but not least, Dr. Tyrrell, without whose kindly offer and guidance I would never have had such an amazing experience. Here’s to an unforgettable summer and a strong start of the new school year. Cheers!
 
Wenda Zhao